Sunday, April 5, 2015

FDA Says Osteoporosis Drugs Cause Femur Fractures

femur fracture on alendronateFDA Says Osteoporosis Drugs Cause Femur Fractures

by Jeffrey Dach MD

For years, I have been warning patients, friends and family members about the adverse effects of osteoporosis drugs.  Finally, after years of dragging their feet, the FDA issued a news release (Oct 13, 2010) warning of “possible” risk of femur fractures caused by the osteoporosis drugs such as fosamax, boniva, and actonel, etc.  They also added a new warning label  which was recommended by a Task Force assigned to look into this issue.  The Task Force found that almost all women suffering from atypical fractures of the mid femur were on these drugs. Left image: femur fracture while on alendronate courtesy of NEJM.
(The task force consists of experts of the American Society of Bone and Mineral Research).
This same ASBMR task force previously reported (2007) these same drugs cause osteonecrosis of the jaw.   When a drug adverse effect is identical to the underlying disease the drug is supposed to treat, we have the perfect storm. Osteoporosis drugs are marketed and sold as fracture preventive, and are not supposed to cause fractures.  Yet they do.  This is a very bad thing, and indicates a very profound problem with the drug.

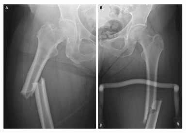
incidence of femoral shaft fracture in women treated with bisphoshonatesLeft image : Cortical Thickening, and obvious Tranverse Mid Femur Fracture in a patient on osteoporosis drugs-  Bisphosphonate. Image courtesy of Dr Jörg Schilcher and Per Aspenberg, Acta Orthop . 2009 August 7; 80(4): 413–415. Incidence of stress fractures of the femoral shaft in women treated with bisphosphonates.

Dr Susan Ott Reports

At a recent medical meeting, the ASBMR in Toronto, Susan Ott MD presented data on atypical femur fractures induced by fosamax.  She reviewed Xrays and data from a large California HMO called Kaiser Permanente.  Over a three year period, Kaiser HMO doctors reported 135 atypical femur fractures out of a total of 16,000 broken femurs.  Almost all of the 135 were on bisphosphonates (96.4%) like fosamax.   Dr. Ott reported these atypical fractures have a characteristic X-ray appearance, and may be bilateral. The fracture is through the mid-shaft, and the outer bony margin hickened (suggesting a stress fracture).  These fractures are spontaneous, with no trauma.  Patients typically report pain in the area for weeks or months before the actual fracture.  Dr. Ott reported an incidence of 0.25 % for atypical mid femur fractures in patients on Bisphosphonates for 12 years.

Swedish Study

According to a 2009 Swedish study by Aspberger, the incidence of mid femur stress fracture is 50 times higher for patients on Bisphosphonates compared to untreated women (0.1% vs 0.002 %).

Osteoporosis Drug Use Associated With Stress Fractures of Mid-Femur

Dr Isaacs from Australia reported in a study August 2010 that these drugs cause insufficiency or stress fractures of the femur.  He reviewed X-rays and studied 100 consecutive patients with spontaneous femur fracture before and after availability of bisphosphonate drugs.  He found Xray evidence of pre-existing stress fractures in all 41 cases on bisphosphonates.  However, before the bisphosphonate era, there were no pre-existing stress fractures in ANY of these 21 earlier cases.
Dr Isaacs study suggests that bisphosphonate drugs damages and weakens the bone, making it susceptible to painful stress fracture.    The stress fracture may then cause a spontaneous mid femur fracture.
cortical thinckening from stress fracture from fosamax Left image: Arrow shows location of thickened cortex indicating stress fracture. Image courtesy of Aspenberg et al  Acta Orthop. 2010 August; 81(4): 460–462.  Histology of an undisplaced femoral fatigue fracture in association with bisphosphonate treatment.

What is the Next Step – A Black Box Warning or Ban the Drug?


The recent medical literature has been inundated with case reports and population studies linking bisphosphonate drugs like Fosamax and Actonel to atypical mid-femur fractures, as well as stress fractures. The message is fairly obvious that there is something dreadfully wrong here.  When we have a drug that causes the same disease it is intended to prevent, we have the “perfect storm”.
Drug manufacturers use ghost-writers to manipulate data from clinical trials to make the drug look good, and clinicians can deny the obvious when patients come in with fractures while on the drug, blaming it on the osteoporosis, and not an adverse effect of the drug.  My prediction is that most educated patients and doctors will abandon this bisphosphonate family of osteoporosis drugs, and the FDA will eventually issue a Black Box Warning or perhaps a ban on the drug.  When this happens, we can say goodbye to another “bad drug”.

This article is part one, for part two CLICK  HERE.

Articles with Related Content :

Fosamax and Fractured Femurs

Fosamax, a Bad Drug in Litigation
Fosamax, Actonel, Osteoporosis and Toulouse Lautrec by Jeffrey Dach MD


Links and References

1)  Epidemiology, radiology and histology of atypical femoral fractures by Jörg Schilcher
2) http://www.fda.gov/NewsEvents/Newsroom/PressAnnouncements/ucm229171.htm
FDA NEWS RELEASE For Immediate Release: Oct. 13, 2010
FDA: Possible increased risk of thigh bone fracture with bisphosphonates
Labeling change adds warning about possible risks of long-term use of osteoporosis drugs
The U.S. Food and Drug Administration today warned patients and health care providers about the possible risk of atypical thigh bone (femoral) fracture in patients who take bisphosphonates, a class of drugs used to prevent and treat osteoporosis. A labeling change and Medication Guide will reflect this risk.
http://online.wsj.com/article/BT-CO-20101013-710300.html
OCTOBER 13, 2010, 1:06 P.M. ET.PRESS RELEASE:
FDA Warns On Risk Of Thigh Bone Fractures With Bisphosphonates Drugs
FDA: Possible increased risk of thigh bone fracture with bisphosphonates
Labeling change adds warning about possible risks of long-term use of osteoporosis drugs   The U.S. Food and Drug Administration today warned patients and health care providers about the possible risk of atypical thigh bone (femoral) fracture in patients who take bisphosphonates, a class of drugs used to prevent and treat osteoporosis. A labeling change and Medication Guide will reflect this risk.
http://www.fda.gov/Drugs/DrugSafety/ucm225681.htm
FDA Statement on ASBMR report: Possible Increased Risk of Certain Types of Thigh Bone Fractures with Long-Term Bisphosphonates Use
[9/14/2010] FDA appreciates the report from the American Society of Bone and Mineral Research’s (ASBMR’s) expert Task Force, released today, providing important perspectives on the potential association between long term treatment with the class of osteoporosis drugs known as bisphosphonates and a rare but serious type of fracture of the thigh bone (femur). The report includes a case definition that describes the atypical features of these unusual femur fractures. FDA believes this case definition will help greatly in identifying cases and reporting on them, and should facilitate future studies comparing the frequency of these unusual fractures both in patients treated with bisphosphonates and those who have not received bisphosphonates.
The ASBMR Task Force’s recommendations include recommended changes to product labels alerting healthcare professionals and patients to the possibility of unusual femur fractures with long-term use of bisphosphonates. FDA has assembled and is thoroughly reviewing all long term data available on the products, as well as all safety reports, and is considering label revisions. FDA will keep the public informed of additional findings and actions on this issue.
http://www.ncbi.nlm.nih.gov/pubmed/20842676
J Bone Miner Res. 2010 Nov;25(11):2267-94.
Atypical subtrochanteric and diaphyseal femoral fractures: report of a task force of the American Society for Bone and Mineral Research.  Shane E, Burr D, Ebeling PR, Abrahamsen B, Adler RA, Brown TD, Cheung AM, Cosman F, Curtis JR, Dell R, Dempster D, Einhorn TA, Genant HK, Geusens P, Klaushofer K, Koval K, Lane JM, McKiernan F, McKinney R, Ng A, Nieves J, O’Keefe R, Papapoulos S, Sen HT, van der Meulen MC, Weinstein RS, Whyte M; American Society for Bone and Mineral Research.
Columbia University, College of Physicians and Surgeons, PH 8 West 864, 630 West 168th Street, New York, NY 10032, USA.
Reports linking long-term use of bisphosphonates (BPs) with atypical fractures of the femur led the leadership of the American Society for Bone and Mineral Research (ASBMR) to appoint a task force.  Moreover, a causal association between BPs and atypical fractures has not been established. However, recent observations suggest that the risk rises with increasing duration of exposure, and there is concern that lack of awareness and underreporting may mask the true incidence of the problem.the task force recommends that an international registry be established  a change in labeling of BPs. Research directions should include animal models, increased surveillance, and additional clinical data
ASBM REPORT

http://www.asbmr.org/about/pressreleases/detail.aspx?cid=a68f2b70-a117-4094-9f6f-b5993c6a6149
JBMR Publishes ASBMR Task Force Report on Atypical Femoral Fractures
Date: September 14, 2010
Panel Says May be Related to Unusual Thigh Bone Fractures When Used Long Term
Expert Panel Calls for Additional Product Labeling, International Patient Registry
http://www.pharmacist.com/AM/Template.cfm?Section=Pharmacy_News&template=/CM/ContentDisplay.cfm&ContentID=24482
FDA warns of femoral fracture risk with bisphosphonates
Long-term use of osteoporosis drugs may increase risk of thigh bone fracture; warning added to drug labeling.  Last week, FDA warned patients and health care providers about the possibility of an increased risk of thigh bone fracture in patients taking bisphosphonates, drugs used in the prevention and treatment of osteoporosis. This warning will be added to the drugs’ labels and Medication Guides.  FDA reported that atypical femur fractures, a rare but serious type of thigh bone fracture, have been predominantly reported in patients taking bisphosphonates. While the agency said it is not clear whether the drugs are the cause, there is some evidence that the fractures are related to use of bisphosphonates for more than 5 years. The optimal duration of bisphosphonate use in patients with osteoporosis is unknown.
The labeling and Medication Guide changes will apply only to bisphosphonates approved for osteoporosis, which include the oral bisphosphonates Fosamax (alendronate—Merck), Fosamax Plus D (alendronate/cholecalciferol—Merck), Actonel (risedronate—Procter & Gamble), Actonel with Calcium (risedronate/calcium carbonate—Procter & Gamble), Boniva (ibandronate—Roche), Atelvia (risedronate—Warner Chilcott), and their generic equivalents, as well as injectable bisphosphonates Reclast (zoledronic acid—Novartis) and Boniva. The changes will not apply to drugs in this class used for Paget disease or cancer and hypercalcemia; these include Didronel (etidronate—Procter & Gamble), Zometa (zoledronic acid—Novartis), Skelid (tiludronate—sanofi aventis), and their generic equivalents.
FDA recommended that health professionals be aware of this possible risk in patients using bisphosphonates and encouraged periodic reevaluation of the need for therapy with this drug lasting more than 5 years. Patients taking bisphosphonates for osteoporosis should not stop taking the medication unless told to do so by a health professionals. Patients should report any new thigh or groin pain the their health care provider; providers should evaluate these patients for possible femur fracture. Patients and health professionals should report adverse effects associated with the use of bisphosphonates to FDA’s MedWatch.
http://www.aafp.org/online/en/home/publications/news/news-now/clinical-care-research/20101018bisphosphonatelabel.html
FDA Warns Docs, Patients of Femoral Fracture Risk Linked to Some Bisphosphonates
Long-term Use Suggests Need for Periodic Bone Density Reassessment
By News Staff 10/18/2010   The FDA announced in March that it was conducting a safety review of oral bisphosphonates. That review included data from a report recently published in the Journal of Bone and Mineral Research that reviewed more than 300 cases of atypical femoral fractures. More than 90 percent of those patients had taken bisphosphonates for five years or more, and 25 percent of the patients had fractures in both legs.
http://www.empr.com/bisphosphonates-labeling-updated-to-include-atypical-fractures-warning/article/180939/
Bisphosphonates labeling updated to include atypical fractures warning
October 13, 2010  The labeling for bisphosphonates will be updated to include information in the Warnings and Precautions section about the risk of atypical fractures of the thigh (ie, subtrochanteric and diaphyseal femur fractures) in patients who take bisphosphonates for osteoporosis. Although it is not clear if bisphosphonates are the cause, these unusual femur fractures have been predominantly reported in patients taking bisphosphonates and may be related to long-term term bisphosphonate use. The FDA will require a new Limitations of Use statement in the Indications and Usage section of the labels for these drugs. This statement will describe the uncertainty of the optimal duration of use of bisphosphonates for the treatment and/or prevention of osteoporosis.
http://www.ncbi.nlm.nih.gov/pubmed/17663640
J Bone Miner Res. 2007 Oct;22(10):1479-91.
Bisphosphonate-associated osteonecrosis of the jaw: report of a task force of the American Society for Bone and Mineral Research.
Khosla S, Burr D, Cauley J, Dempster DW, Ebeling PR, Felsenberg D, Gagel RF, Gilsanz V, Guise T, Koka S, McCauley LK, McGowan J, McKee MD, Mohla S, Pendrys DG, Raisz LG, Ruggiero SL, Shafer DM, Shum L, Silverman SL, Van Poznak CH, Watts N, Woo SB, Shane E; American Society for Bone and Mineral Research.
ASBMR TORONTO 2010 Susan Ott MD
www.medpagetoday.com/MeetingCoverage/ASBMR/22859
www.medpagetoday.com>www.medpagetoday.com/MeetingCoverage/ASBMR/22859 a> /> /> /> /> /> ASBMR: Analysis Adds to Evidence of Unusual Fractures
By Michael Smith , North American Correspondent, MedPage Today Published: October 20, 2010  Reviewed by Zalman S. Agus, MD; Emeritus Professor University of Pennsylvania School of Medicine and Dorothy Caputo, MA, RN, BC-ADM, CDE, Nurse Planner
TORONTO — A large study presented here has added more evidence linking the use of bisphosphonate drugs used to treat osteoporosis to an elevated risk of what are being called “atypical” femur fractures. In an analysis of data collected by the large California health maintenance organization Kaiser Permanente, the vast majority of people with such atypical fractures were taking a bisphosphonate drug, according to Susan Ott, MD, of the University of Washington.  In fact, over a three-year period, the HMO’s doctors recorded 135 atypical fractures — out of nearly 16,000 broken femurs — and all but 3.7% of the patients involved were taking a bisphosphonate, Ott reported at the annual meeting of the American Society for Bone and Mineral Research.In addition, she noted that the rate of atypical fractures appeared to rise with longer duration of bisphosphonate use.
The atypical fractures are characterized by a transverse break in the diaphyseal region of the femur, with lateral cortical thickening and flaring of the lateral cortex, associated with low or no trauma. There is often prodromal pain in the thigh or groin and the fracture can be bilateral.
The FDA ordered labeling changes for bisphosphonate drugs to warn about the risk of atypical fractures after an ASBMR task force found 310 cases — in which 94% of patients were taking bisphosphonates.
For the current analysis, Ott and colleagues had access to medical reports — including x-rays — of the 15,819 femur fractures that Kaiser covered in 2007, 2008, and 2009.
Among the 135 fractures they found:
•98% of patients were women, with an average age of 71 and an average body mass index of 26.6.
•53% had previous fragility fractures, but only 2% died in the year following the atypical fracture.
•On average, the patients had been talking bisphosphonates for 6.3 years.
•67% had prodromal pain and 25.9% had bilateral fractures.
•60% of the breaks were on the shaft and 40% were subtrochanteric.
The proportion of patients with such fractures rose steadily with the duration of use, Ott said, rising from about two per 100,000 if bisphosphonates were used for less than a year to almost 250 per 100,000 after 12 years of use.
http://www.ncbi.nlm.nih.gov/pubmed/20809164
Clin Orthop Relat Res. 2010 Aug 31. [Epub ahead of print] Femoral Insufficiency Fractures Associated with Prolonged Bisphosphonate Therapy.  Isaacs JD, Shidiak L, Harris IA, Szomor ZL. The St George and Sutherland Hospital Orthopaedic Departments, Sydney, NSW, Australia,
BACKGROUND: Emerging evidence has linked the long-term use of bisphosphonates with femoral insufficiency fractures. It has been suggested that the prolonged effect on bone remodeling leads to the accumulation of microfractures and weakening of bone.
We investigated the association between bisphosphonate use and femoral insufficiency fractures.
METHODS: We evaluated 100 patients with low-energy femoral shaft fractures before and after bisphosphonates became available for use. Twenty-one consecutive patients who presented between January 1995 and February 1997 were compared with 79 consecutive patients who presented between January 2007 and February 2009. The radiographs of all 100 patients were examined for evidence of preexisting insufficiency fractures. We identified insufficiency fractures by a transverse fracture line on the tension side of the femur with lateral cortical thickening immediately adjacent to the fracture. Relevant details from the history were recorded.
RESULTS: Forty-one patients had an underlying femoral insufficiency fracture, all of whom had been receiving bisphosphonate therapy. Among the 21 patients with low-energy femoral fractures before the availability of bisphosphonates, none had insufficiency fractures. Of the 41 patients with insufficiency fractures, 29 (71%) had prodromal pain and 18 (44%) had bilateral insufficiency fractures. Bisphosphonate use was associated (odds ratio greater than 1000) with insufficiency fracture. The mean duration of bisphosphonate use in patients with insufficiency fractures was longer than in patients without fractures (7.1 versus 3.2 years).
CONCLUSION: Long-term bisphosphonate use is associated with insufficiency fractures of the femoral shaft, which commonly present with prodromal thigh pain and may be bilateral. These fractures were not seen before bisphosphonates became available for use.
http://www.ncbi.nlm.nih.gov/pubmed/20425089
Curr Osteoporos Rep. 2010 Mar;8(1):34-9. Atypical subtrochanteric and femoral shaft fractures and possible association with bisphosphonates.Nieves JW, Cosman F. Clinical Research Center, Helen Hayes Hospital, Route 9W, West Haverstraw, NY 10993, USA.
Abstract
Several case series and multiple individual case reports suggest that some subtrochanteric and femoral shaft fractures might occur in patients who have been treated with long-term bisphosphonates. Several unique clinical and radiographic features are emerging: prodromal thigh pain prior to the fracture, complete absence of trauma precipitating the fracture, and bilateral fractures in some patients. Radiographic features include presence of stress reaction, transverse or short oblique fractures, and thick femoral cortices. The overall incidence of subtrochanteric and shaft fractures combined is below 30 per 100,000 person-years, so this type of fracture is much less common than proximal femur (hip) fracture. Furthermore, the unique “atypical” fracture type is a subset of all subtrochanteric and femoral shaft fractures. The putative mechanism is unknown, and more research is needed to identify distinctive characteristics and the pathophysiology of these atypical fractures. There is no rationale to withhold bisphosphonate therapy from patients with osteoporosis, although continued use of bisphosphonate therapy beyond a treatment period of 3 to 5 years should be re-evaluated annually.
http://www.ncbi.nlm.nih.gov/pubmed/20524451
J Med Assoc Thai. 2010 May;93(5):620-4.
Bilateral atypical femoral fractures after long-term alendronate therapy: a case report.
Bamrungsong T, Pongchaiyakul C.
Department of Orthopedics, Phranakhon Si Ayutthaya Hospital, Phranakhon Si Ayutthaya, Thailand.
http://jama.ama-assn.org/cgi/reprint/304/13/1480.pdf
JAMA. 2010;304(13):1480-1484 (doi:10.1001/jama.2010.1360)
Atypical Fractures as a Potential Complication of Long-term Bisphosphonate Therapy
Deborah E. Sellmeyer
http://www.ncbi.nlm.nih.gov/pubmed/20489100
AJR Am J Roentgenol. 2010 Jun;194(6):1581-6.
Subtrochanteric femoral fractures in patients receiving long-term alendronate therapy: imaging features.  Chan SS, Rosenberg ZS, Chan K, Capeci C.
Department of Radiology, New York University Hospital for Joint Diseases, New York, NY 10009, USA.
OBJECTIVE: A paradoxical association between long-term alendronate therapy and low-energy subtrochanteric femoral fractures has been recently recognized. A retrospective review of 34 such femoral fractures was performed.
CONCLUSION: Subtrochanteric femoral fractures associated with long-term alendronate therapy present with minimal trauma, may be chronic, and when incomplete may be missed. The characteristic imaging features include initial involvement and focal thickening of the lateral cortex, transverse orientation, medial beak, and superior displacement and varus angulation at the fracture site.
http://www.ncbi.nlm.nih.gov/pubmed/20954650
Orthopedics. 2010 Oct 11;33(10). doi: 10.3928/01477447-20100826-31.
Bilateral simultaneous femoral diaphyseal fractures in a patient with long-term ibandronate use. Patel VC, Lazzarini AM.
Bisphosphonates are the most common medication used to treat patients with documented osteoporosis. Recently, reports have associated long-term bisphosphonate use with low-energy femur fractures. While no definitive mechanism has been associated, bisphosphonate use has been strongly implicated. This article presents the case of a 65-year-old woman with a 2-year history of ibandronate use presenting with simultaneous low-energy femoral shaft fractures. The patient reported prodromal bilateral thigh pain and was seen by a spine surgeon.A review of the literature implicates long-term ibandronate use in low-energy femur fractures. With most of the basic science studies demonstrating suppressed bone turnover after 5 years of treatment with alendronate, the significance of the present case also lies in the relatively short duration of time the patient was on ibandronate before suffering the bilateral femoral shaft fractures. Possible pathophysiology for the fractures includes suppressed bone turnover that may allow microcracks to propagate in cortical bone, which can weaken the bone and possibly predispose it to fractures. Patients who have been on bisphosphonates long term should be questioned about thigh pain and have radiographs of their femurs obtained if pain exists. Furthermore, if a patient presents with a single subtrochanteric or diaphyseal low-energy femur fracture after long-term bisphosphonate use, a radiograph of the contralateral femur should be obtained to assess for a cortical stress reaction.
http://www.ncbi.nlm.nih.gov/pubmed/20436006
J Bone Joint Surg Br. 2010 May;92(5):679-86.
A rational approach to management of alendronate-related subtrochanteric fractures.
Das De S, Setiobudi T, Shen L, Das De S.  University Orthopaedic, Hand and Reconstructive Microsurgery Cluster, Singapore.
There have been recent reports linking alendronate and a specific pattern of subtrochanteric insufficiency fracture. We performed a retrospective review of all subtrochanteric fractures admitted to our institution between 2001 and 2007. There were 20 patients who met the inclusion criteria, 12 of whom were on long-term alendronate. Alendronate-associated fractures tend to be bilateral (Fisher’s exact test, p = 0.018), have unique radiological features (p < 0.0005), be associated radiologically with a pre-existing ellipsoid thickening of the lateral femoral cortex and are likely to be preceded by prodromal pain. Biomechanical investigations did not suggest overt metabolic bone disease. Only one patient on alendronate had osteoporosis prior to the start of therapy. We used these findings to develop a management protocol to optimise fracture healing. We also advocate careful surveillance in individuals at-risk, and present our experience with screening and prophylactic fixation in selected patients.
http://www.ncbi.nlm.nih.gov/pmc/articles/PMC2917569
Acta Orthop. 2010 August; 81(4): 460–462.
Histology of an undisplaced femoral fatigue fracture in association with bisphosphonate treatment Frozen bone with remodelling at the crack
Per Aspenberg, Jörg Schilcher, and Anna Fahlgren
http://www.ncbi.nlm.nih.gov/pubmed/20374333
Int J Rheum Dis. 2009 Jul;12(2):149-54.
Bilateral atypical femoral diaphyseal fractures in a patient treated with alendronate sodium.  Lee JK.J. K. Lee Orthopedic and Traumatology, Petaling Jaya, Selangor, Malaysia.
http://www.ncbi.nlm.nih.gov/pubmed/19670917
Drug Saf. 2009;32(9):775-85. doi: 10.2165/00002018-200932090-00002.
Low-energy femoral fractures associated with the long-term use of bisphosphonates: a case series from a Swiss university hospital.
Ing-Lorenzini K, Desmeules J, Plachta O, Suva D, Dayer P, Peter R.
Division of Clinical Pharmacology and Toxicology, Regional Pharmacovigilance Centre, University Hospitals of Geneva, Geneva, Switzerland.
http://www.ncbi.nlm.nih.gov/pubmed/18448990
J Orthop Trauma. 2008 May-Jun;22(5):346-50.
Low-energy femoral shaft fractures associated with alendronate use.
Neviaser AS, Lane JM, Lenart BA, Edobor-Osula F, Lorich DG.
Hospital for Special Surgery, New York, NY, USA.
Low-energy fractures of the femoral shaft with a simple, transverse pattern and hypertrophy of the diaphyseal cortex are associated with alendronate use. This may result from propagation of a stress fracture whose repair is retarded by diminished osteoclast activity and impaired microdamage repair resulting from its prolonged use.
http://www.ncbi.nlm.nih.gov/pmc/articles/PMC2823197/
Acta Orthop. 2009 August 7; 80(4): 413–415.
Incidence of stress fractures of the femoral shaft in women treated with bisphosphonate  Jörg Schilcher and Per Aspenberg  Department of Orthopedics, AIM/IKE, Faculty of Health Science, Linköping University, Linköping, Sweden
In 2007, the overall population of women older than 55 years in the area of interest was 91,956. Of these, 3,087 (3.4%) were on continous treatment with bisphosphonate drugs. In order to combine the catchment areas of östergötland county and Lund University Hospital and the different time intervals for evaluation, we calculated the annual incidence of femoral shaft stress fractures to be 2.4 fractures per year, 1.5 of which were associated with bisphosphonate treatment. The overall incidence of stress fractures in patients on continuous bisphosphonate treatment (weighted for the different catchment areas) was 1/1,000 per year (95% CI: 0.3–2) as compared to 0.02/1,000 (95% CI: 0.004–0.1) for the untreated women.
As a rough estimate, we therefore calculated the relative risk without age correction, and found a 46-times increased risk of stress fracture with bisphosphonates
http://www.ncbi.nlm.nih.gov/pubmed/18222447
Injury. 2008 Feb;39(2):224-31. Epub 2008 Jan 28.
An emerging pattern of subtrochanteric stress fractures: a long-term complication of alendronate therapy? Kwek EB, Goh SK, Koh JS, Png MA, Howe TS.
Department of Orthopaedic Surgery, Singapore General Hospital, Outram Road, Singapore 169608,
BACKGROUND: Subtrochanteric insufficiency fractures in post-menopausal patients have not been commonly reported in the literature. A recent increase in the incidence of such fractures occurring in patients while on alendronate therapy led us to conduct a retrospective review of these patients in our institution.
METHODS: Seventeen patients, with a mean age of 66 years, sustained low energy subtrochanteric fractures within a 20-month period. These patients were incidentally found to be on alendronate therapy for an average of 4.8 years. Clinical data and history were reviewed and roentgenograms were evaluated by a single investigator. All additional imaging and bone mineral density measurements available were analysed.
RESULTS: A characteristic fracture configuration suggestive of an insufficiency stress fracture was identified on plain radiographs. This consisted of (a) cortical thickening in the lateral side of the subtrochanteric region, (b) a transverse fracture, and (c) a medial cortical spike. In addition, 9 (53%) patients had bilateral findings of stress reactions or fractures, and 13 (76%) had symptoms of prodromal pain.
CONCLUSIONS: These insufficiency fractures could possibly have developed from the over suppression of bone turnover from prolonged alendronate therapy, in keeping with recently published evidence. This study further highlights the need for heightened awareness of alendronate’s potential adverse effects.
http://www.nejm.org/doi/full/10.1056/NEJMc0707493 Correspondence
Atypical Fractures of the Femoral Diaphysis in Postmenopausal Women Taking Alendronate  N Engl J Med 2008; 358:1304-1306 March 20, 2008 Brett A. Lenart, B.S. Dean G. Lorich, M.D. Joseph M. Lane, M.D. Weill Cornell Medical College, New York, NY 10021

Jeffrey Dach MD
7450 Griffin Road
Suite 190
Davie, Fl 33021
954-792-4663
www.drdach.com
www.naturalmedicine101.com
www.truemedmd.com

Disclaimer click here: www.drdach.com/wst_page20.html

The reader is advised to discuss the comments on these pages with his/her personal physicians and to only act upon the advice of his/her personal physician. Also note that concerning an answer which appears as an electronically posted question, I am NOT creating a physician — patient relationship. Although identities will remain confidential as much as possible, as I can not control the media, I can not take responsibility for any breaches of confidentiality that may occur.

Link to this article:http://wp.me/p3gFbV-2Hc

Copyright (c) 2010-2015 Jeffrey Dach MD All Rights Reserved. This article may be reproduced on the internet without permission, provided there is a link to this page and proper credit is given.
FAIR USE NOTICE: This site contains copyrighted material the use of which has not always been specifically authorized by the copyright owner. We are making such material available in our efforts to advance understanding of issues of significance. We believe this constitutes a ‘fair use’ of any such copyrighted material as provided for in section 107 of the US Copyright Law. In accordance with Title 17 U.S.C. Section 107, the material on this site is distributed without profit to those who have expressed a prior interest in receiving the included information for research and educational purposes.

No comments:

Post a Comment